がん検診とは
当院では、がん検診を行なっております。がん検診は様々な種類がございますが、基本的な目的は一つです。
「早期にがんを発見する事」
がん検診はがんにかかっている人が受けるものではなく、自覚症状のない人を対象にし、早期発見による死亡率の軽減が目的です。いつかかるかわからないがんを早期治療する為にも早めの受診が好ましいでしょう。
がん検診の種類
子宮頸がん検診が有名ですが、当然他にも肺がん、前立腺がん、膵臓がん、大腸がんなど、多くの種類のがん検診がございます。当院でも様々ながん検診を行っております。気になった方はお気軽にお電話などでお問合せ下さい。
*健診内容
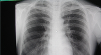
それぞれの検診内容によって様々です。大腸がんでは便潜血検査や大腸内視鏡検査。肺がんでは胸部X線など。また、採血により腫瘍マーカーの検査が可能です。
メタボリックシンドロームとは
メタボリックシンドロームとは、内臓脂肪型肥満に高血糖、高血圧・高脂血症のうち二つ以上を合併した状態のことを言います。以前までは、死の四重奏やシンドロームXなどと呼ばれていました。
それぞれの症状は単体でもリスクを高め、健康に大きな被害をもたらしますが、合併すると動脈硬化性疾患などの発生頻度が高まる為、リスクの状態が更に増大します。またこれらの症状が合併するのには共通の理由があるとされました。それが内臓脂肪の蓄積です。
単純に太っている人がメタボリックシンドロームというわけではなく上半身のみの肥満、いわゆるリンゴ型肥満の人は特に危険として注意喚起がされています。
*メタボにならない為に
痛みなどの自覚症状がない為、自分がメタボであるという事に気付くことからまず始まります。少しでも自分の体がそうかも、と思ったなら診察を受けて下さい。生活習慣病の予防には、個人の努力や家族の協力なども必要になってきます。
治療は基本的に合併症の予防となります。自覚症状がない為、血液検査などの結果から得られる内容を元に長期的な治療を行います。また、喫煙も動脈硬化のリスクを高めますので、同時に禁煙治療も勧められます。生活習慣病は一度かかると、治療には非常に長い時間を必要とします。そうならない為にも、日々の生活習慣を見直すようにしましょう。


